DIAGNOSA TUMOR GANAS TULANG (KANKER TULANG) DAN PENANGANANNYA / MALIGNANT BONE TUMOR (BONE CANCER) AND MANAGEMENT 
BAB I
PENDAHULUAN
Definisi Tumor atau  neoplasma adalah kumpulan sel abnormal yang terbentuk oleh sel-sel yang tumbuh terus-menerus secara tidak terbatas, tidak terkoordinasi dengan jaringan sekitarnya dan tidak berguna bagi tubuh.
Tumor tulang atau neoplasma tulang adalah neoplasma yang agak jarang ditemukan. Insidens tumor ganas tulang menempati urutan kesebelas dari seluruh tumor ganas yang ada dan hanya 1,5% dari seluruh tumor ganas organ.  Insidensi dari beberapa neoplasma tulang bekaitan dengan usia, misalnya Osteosarkoma yang terjadi kebanyakan pada anak dan dewasa. Lokasi anatomik juga mempunyai kekhususan, yaitu tersering terjadi pada daerah metafisis panjang, yaitu femur distal, tibia proksimal dan humerus proksimal. 
Berdasarkan penelitian ditemukan bahwa pemicu terbesar terjadinya tumor tulang adalah faktor genetika. Gejala awal yang umum berupa nyeri berkepanjangan pada tulang. Nyeri ini bisa jadi muncul sebagai akibat trauma benturan, tetapi bisa juga tidak. Tidak jarang ditemukan penderita pada awalnya justru tidak merasakan nyeri, namun terjadi pembengkakan pada tulang. Uniknya, tumor ini potensial menyerang penderita berusia di bawah 20 tahun.
Klasifikasi tumor tulang, yaitu primer dan sekunder (metastatik). Tumor primer tulang dibagi menjadi tumor jinak (benigna) dan tumor ganas (maligna).
            Neoplasma benigna tulang ditatalaksanai dengan eksisi atau kuretase. Defek tulang ditutup dengan tandur tulang. Neoplasma muskuloskeletal primer yang ganas secara umum ditatalaksanai dengan pembedahan yang biasanya disertai dengan radioterapi dan kemoterapi.
BAB II
TUMOR TULANG & PENANGANANNYA
DEFINISI
Tumor tulang merupakan kelainan pada tulang yang bersifat neoplastik. Tumor dalam arti yang sempit berarti benjolan, sedangkan setiap pertumbuhan yang baru dan abnormal disebut neoplasma.
Tumor adalah pertumbuhan sel baru, abnormal, progresif, dimana sel-sel tersebut tidak pernah menjadi dewasa. Dengan istilah lain yang sering digunakan “Tumor Tulang”, yaitu pertumbuhan abnormal pada tulang yang bisa jinak atau ganas.
Tumor dapat bersifat jinak atau ganas. Tumor ganas tulang dapat bersifat primer yang berasal dari unsur-unsur tulang sendiri atau sekunder dari metastasis (infiltrasi) tumor-tumor ganas organ lain ke dalam tulang.
1.      Tumor Jinak (Benign)
Tumor jinak (benign) tidak menyerang dan menghancurkan tissue (sekumpulan sel terinterkoneksi yang membentuk fungsi serupa dalam suatu organisme) yang berdekatan, tetapi mampu tumbuh membesar secara lokal. Biasanya setelah dilakukan operasi pengangkatan (tumor jinak), tumor jenis ini tidak akan muncul lagi.
2.      Tumor Ganas (Malignant)
Tumor jenis ini lebih dikenal dengan istilah Kanker, yang memiliki potensi untuk menyerang dan merusak tissue yang berdekatan, baik dengan pertumbuhan langsung di jaringan yang bersebelahan (invasi) atau menyebabkan terjadinya metastasis (migrasi sel ke tempat yang jauh).
INSIDENS
            Dari seluruh tumor tulang primer; 65,8% bersifat jinak dan 34,2% bersifat ganas. Ini berarti dari setiap tiga tumor tulang terdapat satu yang bersifat ganas. Tumor ganas tulang menempati urutan kesebelas dari seluruh tumor ganas yang ada dan hanya 1,5% dari seluruh tumor ganas organ. Perbandingan insidens tumor tulang pada pria dan wanita adalah sama.
            Tumor jinak primer tulang yang paling sering ditemukan adalah osteoma (39,3%), osteokondroma (32,5%), kondroma (9,8%) dan sisanya oleh tumor tulang jinak yang lain.
            Osteogenik sarkoma (48,8%) merupakan tumor ganas primer tulang yang paling sering ditemukan, diikuti giant cell tumor (17,5%), kondrosarkoma (10%) dan sisanya adalah tumor tulang ganas yang lain.
Tabel Insidens tumor jinak dan tumor ganas primer pada tulang
| Tumor   Jinak | Tumor   Ganas | ||
| Jenis | Insidens | Jenis | Insidens | 
| Osteoma | 39,3% | Osteogenik   sarkoma | 48,8% | 
| Osteokondroma | 32,5% | Giant cell   tumor | 17,5% | 
| Kondroma | 9,8% | Kondrosarkoma | 10% | 
| Tumor jinak   lainnya | 18,4% | Tumor ganas   lainnya | 23,7% | 
KLASIFIKASI
Klasifikasi neoplasma tulang berdasarkan asal sel, antara lain:
v  Primer
1.      Tumor asal jaringan tulang (Osteogenik)
Jinak:      Osteoma.                                    Ganas:    Osteosarkoma.
               Osteoid osteoma.                                      Parosteal osteosarkoma.
               Osteoblastoma jinak.
2.      Tumor asal jaringan tulang rawan (Kondrogenik)
Jinak:      Kondroma.                                 Ganas:    Kondrosarkoma.
               Osteokondroma.                                       Kondrosarkoma juksta
               Kondroblastoma jinak.                              kortikal.
               Fibroma kondromiksoid.
3.      Tumor asal jaringan ikat (Fibrogenik)
Jinak:      Non Ossifying Fibroma.            Ganas:    Fibrosarkoma.
               Lipoma.                                                     Liposarkoma.
                                                                                 Mesenkimoma ganas.
                                                                                 Sarkoma tak
                                                                                 berdiferensiasi.
4.      Tumor asal sumsum tulang (mielogenik)
Ganas:    Sarkoma Ewing.
               Limfosarkoma tulang.
               Retikulo sarkoma tulang.
               Mieloma Multipel.
5.      Tumor asal vaskuler
Jinak:      Hemangioma.                                            Ganas:    Angiosarkoma.
               Limfangioma.
               Tumor glomus.
Intermediate:   Hemangio-endotelioma.
                        Hemangio-perisitoma.
6.   Tumor tulang lainnya
Jinak:      Giant cell tumor.                        Ganas:    Kordoma.
               Neurilemoma.                                            Adamantinoma.
               Neurofibroma.
v  Sekunder/Metastatik
Tumor yang berasal dari organ lain yang menyebar ke tulang.
Contoh: tumor/kanker paru yang menyebar ke tulang, dimana sel-sel tumornya menyerupai sel paru dan bukan merupakan sel tulang.
Yang termasuk dalam kategori tumor tulang sekunder adalah:
 Tumor Metastatik.
      Tumor Metastatik. Tumor yang berasal dari hasil penyebaran issue neoplasma yang berdekatan.
      Tumor yang berasal dari hasil penyebaran issue neoplasma yang berdekatan. Tumor yang merupakan hasil transformasi membahayakan dari luka atau tumor jinak yang sudah ada sebelumnya.
      Tumor yang merupakan hasil transformasi membahayakan dari luka atau tumor jinak yang sudah ada sebelumnya.Klasifikasi menurut TNM, yaitu:
Ø  T = Tumor induk
TX    tumor tidak dapat dicapai.
T0     tidak ditemukan tumor primer.
T1     tumor terbatas dalam periost.
T2     tumor menembus periost.
T3     tumor masuk dalam organ atau struktur sekitar tulang.
Ø  N = Kelenjar limf regional
N0    tidak ditemukan tumor di kelenjar limf.
N1    tumor di kelenjar limf regional.
Ø  M = Metastasis jauh
M0    tidak ditemukan metastasis jauh.
M1    metastasis jauh.
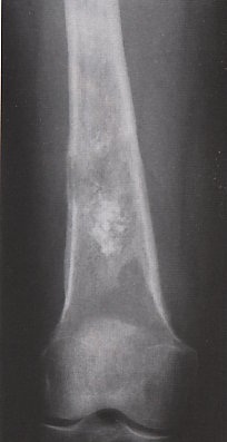
Osteosarkoma/Sarkoma Osteogenik 
Merupakan neoplasma tulang ganas primer yang paling sering didapat. Terjadi pada dekade ke-2 dari kehidupan dimana masa tersebut merupakan masa aktif pertumbuhan tulang, hanya kurang dari 5% terjadi pada anak-anak usia kurang dari 10 tahun. Bersifat sangat ganas, cepat bermetastase ke paru-paru dengan melalui aliran darah.
Klinis:
 Pria lebih banyak diserang daripada wanita dengan perbandingan 2:1.
      Pria lebih banyak diserang daripada wanita dengan perbandingan 2:1. Didapat terutama pada usia muda, berusia 10-20 tahun.
      Didapat terutama pada usia muda, berusia 10-20 tahun. Keluhan utama penderita ialah perasaan sakit pada bagian tulang yang terkena disertai adanya benjolan.
      Keluhan utama penderita ialah perasaan sakit pada bagian tulang yang terkena disertai adanya benjolan. Didapat pula tanda-tanda keganasan umum seperti anemia, berat badan menurun.
      Didapat pula tanda-tanda keganasan umum seperti anemia, berat badan menurun.Lokasi: Didapat pada metafisis tulang-tulang panjang terutama pada bagian distal femur, proksimal tibia dan proksimal humerus.
Radiologi: 
Didapat 3 macam gambaran radiologi, yaitu:
1.      Gambaran osteolitik, dimana proses destruksi merupakan proses utama.
2.      Gambaran osteoblastik, yang diakibatkan oleh banyak pembentukan tumor tulang.
3.      Gambaran campuran antara proses destruksi dan proses pembentukan tumor tulang.

Gambaran radiologis didapat adanya gambaran osteolitik dan osteoblatik, pada MRI ditemukan garis destruksi.
Pada MRI ditemukan garis akibat proses destruksi dan ekstensi jaringan lunak sel-sel tumor.
Pertumbuhan neoplasma yang cepat mengakibatkan terangkatnya poriosteum dan tulang reaktif terbentuk antara periosteum yang terangkat dengan tulang dan padaX-Ray terlihat sebagai segitiga Codman. Kombinasi antara tulang reaktif dan tulang neoplastik yang dibentuk sepanjang pembuluh darah berjalan radier dari kortek tulang ke arah masa tumor membentuk gambaran Sunbrust.
Patologi: Gambaran histologinya bervariasi. Kriteria untuk diagnosis adalah didapatnya stroma sarkoma dengan pembentukan osteoid neoplastik dari tulang disertai gambaran anaplasia yang menyolok. Sel-sel ganas menembus rongga antara kumpulan osteoid.
Terapi: Penderita dengan Osteosarkoma membutuhkan terapi operatif berupa amputasi. Amputasi dapat dilakukan melalui tulang daerah proksimal tumor atau melalui sendi (disartikulasi) proksimal dari tumor. Menurut penyelidikan, antara teknik amputasi melalui tulang dengan disartikulasi tidak ada perbedaan yang bermakna dalam hasil Survival Rate. Selain terapi operatif, maka pada penderita osteosarkoma diperlukan juga terapi adjuvan berupa pemberian kemoterapi atau radio terapi. Para ahli berpendapat bahwa pada saat diagnosis osteosarkoma ditegakkan, maka dianggap kebanyakan penderita sudah mempunyai mikro metastase di paru-paru sehingga setelah amputasi walaupun X-Ray paru-paru masih belum nampak metastase, perlu diberikan kemoterapi untuk memberantas mikrometastase.
Prognosis: Pada permulaannya prognosis Osteosarkoma adalah buruk 5 years Survival Rate-nya hanya berkisar antara 10-20%. Belakangan ini dengan terapi adjuvan berupa sitostatik yang agresif dan intensif yang diberikan prabedah dan pasca bedah maka Survival Rate menjadi lebih baik dapat mencapai 60-70%. Berkat terapi adjuvan juga terapi amputasi belakangan ini sudah berkurang, sekarang pada pusat-pusat pengobatan kanker yang lengkap, maka terapi non amputasi atau Limb Salvage lebih sering dilakukan.
Parosteal Osteosarkoma/Juxtakortikal Osteosarkoma
Merupakan neoplasma yang jarang didapat. Didapat pada golongan usia muda, dan paling sering mengenai bagian posterior distal femur. Kelainan ini berasal dari sel osteoblast periost dan paling sering tumbuh di sisi tulang. Neoplasma ini mempunyai perangai yang berbeda jauh dengan osteosrakoma. Tumbuhnya lambat bila dibanding dengan osteosarkoma dan juga lambat bermetastase di paru-paru. Terapi adalah eksisi luas, kalau perlu amputasi. Prognosisnya baik, 5 years Survival Rate-nya lebih dari 50%.
Sarcoma ini jarang menimbulkan nyeri dan patah tulang patologis.
Kondrosarkoma
Merupakan tumor ganas yang terdiri dari sel-sel kartilago (tulang rawan) yang dapat tumbuh spontan (kondrosarkoma primer) atau merupakan degenerasi maligna lesi jinak seperti esteokondroma, enkondroma (kondrosarkoma sekunder). Ditemukan usia antara 30-60 tahun. Neoplasma ini tumbuhnya agak lambat dan hanya memberikan sedikit keluhan. Neoplasma ini lambat memberikan metastase.
Lokasi: Terutama mengenai tulang ceper seperti pelvis dan skapula, tetapi dapat juga didapat pada tulang panjang seperti femur dan humerus.
Klinis: Keluhan penderita adalah adanya masa tumor yang menjadi besar secara perlahan-lahan.
Radiologi: Tampak sebagai lesi osteolitik ditengah metafisis tulang dengan bercak- bercak kalsifikasi yang berasal dari matriks kartilago disertai proses destruksi kortek, sehingga tumor dapat dilihat meluas ke jaringan lunak disekitarnya.
Gambaran patologis menunjukkan lesi di tengah metafisis dengan bercak kalsifikasi, gambaran patologis terdapat sel ganas di tengah lamellar.
Patologi: Tampak sel-sel ganas diantara tulang lamellar didalam sumsum tulang yang membentuk tulang rawan. Gambaran mitosis tidak begitu banyak.
Terapi: Operasi reseksi luas, kalau perlu amputasi. Terapi adjuvan seperti radioterapi, kemoterapi tidak menolong.
Fibrosarkoma
Jaringan ikat dalam rongga tulang merupakan asal dari tumor ganas ini, tumor ganas tulang ini membentuk matrik kolagen tetapi tidak membentuk osteoid ataupun chondroid. Jarang didapat dan merupakan noplasma sel spindle yang ganas. Kejadian pada wanita dan pria hampir sama. Fibrosarkoma dapat dihubungkan dengan adanya paget’s disease, fibrous dysplasia, giant sel tumor, osteomielitis kronis. Neoplasma ini juga dapat merupakan neoplasma sekunder, sebagai akibat radiasi terhadap tumor tulang jinak.
Klinik: Didapat pada usia 20-60 tahun dengan keluhan sakit yang sangat pada benjolan yang membesar dengan lambat. Dapat terjadi fraktur patologis.
Lokasi: Mengenai tulang-tulang panjang, paling banyak pada tulang femur, tibia dan humerus. Tumor didapat di daerah metafisis yaitu pada lesi di intramedular dan periosteal.
Radiologi: Tampak sebagai lesi yang radiolusen, sebagai akibat proses destruksi cortikal tulang , batas tumor tidak jelas.
Patologi: Gambaran histologi tumor terlihat sebagai tumor ganas dengan adanya anaplasia, mitosis, terdapat tanda “herring bone pattern”. Sel-sel tumor menghambat pembentukan  kolagen sehingga tidak ada permukaan osteoid/tulang atau tulang rawan. Gambaran mikroskopik adalah sama dengan fibrosarkoma jaringan lunak.
Terapi: Dapat dilakukan eksisi radikal dan terapi radiasi adjuvant.
Prognosis: Tergantung pada tingkatan tumor tetapi 5 Years Survival Rate ± 25-30%, jadi lebih baik dari kondrosarkoma atau osteosarkoma.
Sarkoma Ewing
Tumor ganas yang jarang didapat. Disebut juga “Small Round Blue Cell”. Menyerang golongan usia muda, kebanyakan dibawah usia 20 tahun dengan prevalensi kurang lebih 80%. Lebih banyak didapat pada kaum pria.
Klinis: Penderita mengeluh sakit dengan diseretai adanya benjolan. Kemungkinan ada suhu badan yang meninggi, berkeringat berlebih, lekositosis dan laju endap darah meningkat.
Lokasi: Pada diafsisi tulang-tulang panjang, paling sering pada femur, humerus, tibia, ulna dan fibula, dapat juga mengenai tulang-tulang tipis.
Radiologi: Tampak proses destruksi tulang dengan batas yang tidak jelas. Pembentukan tulang reaktif baru oleh periosteum bisa berlapis-lapis yang memberikan gambaran Onion Skin atau tegak lurus yang nampak sebagai Sunbrust.
Gambaran radiologist tampak destruksi tulang dengan batas tidak jelas, gambaran MRI terdapat kerusakan korteks.
Pada MRI menunjukkan kerusakan kortek dan gangguan pada jaringan lunak sekitarnya.
Patologi: Terdapat gambaran highly cellular, neoplasma infiltrat dengan bagian yang padat, round cell dengan sitoplasma yang jernih “ round blue cell tumor”, dan adanya ekstensif nekrosis yang ditunjukkan dengan gambaran occasional Homer-Wright rossetes.
Gambaran patologis dengan noeplasma infiltrate, round blue cell tumor dan Hommer-Wright rossetess.
Diagnosis Banding: Gambaran klinis dan radiologis sarkoma ewing mirip dengan osteomeilitis, osteosarkoma dan neuroblastoma metastatik.
Terapi:
o   Operasi berupa reaksi luas atau amputasi.
o   Kemoterapi.
o   Radioterapi.
Prognosis: Buruk. Mortalitas pada tahun-tahun pertama setelah diagnosis ± 95%. Akhir-akhir ini dengan terapi kombinasai radioterapi, kemoterapi dan operasi, prognosis menjadi lebih baik.
Retikulo Sarkoma Tulang
Tumor ganas yang gambaran mikroskopisnya mirip sekali dengan sarkoma Ewing, tetapi mempunyai perangai klinis yang berlainan. Didapat terutama pada usia dewasa, terutama mengenai tulang-tulang panjang, pelvis dan iga. Tumbuh lebih lambat daripada sarkoma Ewing, sehingga mengakibatkan rasa sakit yang lebih sedikit.
Secara lokal proses destruksinya lebih banyak, dengan akibat dapat terjadi fraktur patologis.
Radiologi : Mirip dengan sarkoma Ewing.
Patologi: Secara mikroskopis dibedakan dengan sarkoma Ewing pengan pewarnaan khusus. Sel-sel tumor sarkoma retikulum tidak mengandung glikogen (P.A.S negatif), sedang sel sarkoma Ewing mengandung glikogen (P.A.S positif).
Terapi: Radiosensitif. Pemberian kemoterapi juga menolong. Dalam beberapa keadaan mungkin diperlukan tindakan amputasi.
Prognosis: Baik. Survival Rate mencapai 50% .
Mieloma Multipel /Plasma Sel Mieloma/Plasmasitoma
Neoplasma tulang ganas yang sering didapat akibat dari penyebaran kerusakan osteolitik tulang. Lebih banyak didapat pada kaum pria dengan usia diatas 40 tahun.
Klinis: Tumor mengakibatkan rasa sakit. Pada penderita dapat ditemukan anemia, hiperkalsemia, suhu badan yang meninggi, berat badan yang menurun dan perasaan mudah lelah. Di dalam darah ada peninggian kadar gammaglobulin. Urin mengandung protein spesifik yaitu protein Bence Jones, yang dapat ditemukan pada lebih kurang 50% mieloma. Fraktur patologis merupakan komplikasi yang sering terjadi karena adanya proses destruksi yang cepat dengan disertai sedikit reaksi pembentukan tulang reaktif. Tidak adanya pembentukan tulang reaktif penyebab tumor ini tidak sering terdeteksi dengan bone scan. Diagnosis ditegakkan dengan dengan pemeriksaan B.M.P (Bone Marrow Puncture) di daerah sternum atau kista iliaka dimana akan dilihat adanya sel-sel plasma abnormal. Adanya protein bence jones dalam urin dan peninggian gammaglobulin pada elektro foresis.
Lokasi: Pada orang tua sumsum tulang masih masih didapat tulang vertebra, pelvis dan tengkorak, dan thoraks maka neoplasma ini paling sering ditemukan pada tulang-tulang tersebut.
Radiologi: Lesi mengakibatkan gambaran punched out, berupa lesi osteolitik yang bulat irreguler. Tidak terdapat reaksi periosteal. Erosi dimulai dari intramedular hingga ke kortek.
Patologi: Terdapat plasma sel, lesi osteolitik disebabkan oleh peningkatan resorbsi osteoklast yang dipengaruhi oleh sitokin sel plasma.
Terapi: Radioterapi dan kemoterapi, atau dilakukan transplantasi sumsum tulang Pada fraktur patologis yang mengenai tulang ekstremitas dilakukan fiksasi internal.
Prognosis: Buruk, 5 Years Survival Rate ± 10%. Penderita pada umumnya meninggal 2 tahun setelah diagnosis ditegakkan.
Angiosarkoma
Adalah tumor ganas yang jarang ditemukan, secara histologist ditandai dengan pembentukan anastomosis vaskuler yang ireguler yang dilapisi oleh satu/lebih sel-sel endotelial yang atipik dan biasa terdapat gambaran sel yang imatur disertai dengan massa padat yang kurang berdiferensiasi (anaplastik). Lesi pada kelainan ini merupakan lesi multiple pada satu tulang, kemudian dengan sangat cepat akan metastasis ke tulang sekitarnya atau menuju ke paru-paru.
Lympangioma yang tumbuh cepat dapat mengakibatkan destruksi tulang luas (massive osteolysis) dan memberikan gambaran X-Ray dissapearing bone atau phantom bone.
Lokasi: Terutama pada tulang panjang pada diafisis tulang.
Klinis: Nyeri yang berat pada bagian diafisis tulong terutama tulang ekstremitas bawah.
Radiologi: Terdapat gambaran lesi pada mid-diafisis ataupun ipsilateral tulang dan pada bagian kontralateral dari lesi yang pertama. CT Scan thorak menunjukkan nodule pada paru, jika dilakukan biopsy akan ditegakkan diagnosis angiosarkoma derajat tinggi.
Terapi: Jika sudah ditemukan metastasis jauh, maka terapi pembedahan bukan lagi terapi pilihan, terapi hanya untuk menghindari fraktur patologis. Terapi dengan radiasi dan adjuvant dapat diberikan.
Prognosis: Jika tumor tidak menunjukkan respon terhadap radiasi, maka dimungkinkan pasien hanya dapat bertahan sampai 1 tahun setelah diagnosis ditegakkan.
Giant Cell Tumor/Tumor Sel Raksasa/Osteoklastoma
Tulang tumor yang asalnya masih kontroversial, ada yang berpendapat tumor ini berasal dari jaringan ikat, pendapat lain mengatakan tumor ini asalnya dari sel osteoklas, tetapi ada juga yang berpendapat asal tumor ini asalnya tidak diketahui. Tumor ini mempunyai sifat dan kecenderungan untuk berubah menjadi ganas dan agresif sehingga dikategorikan sebagai suatu tumor ganas.
            Tumor sel raksasa menempati urutan kedua (17,5%) dari seluruh tumor ganas tulang, terutama ditemukan pada umur 20-40 tahun dan jarang sekali di bawah umur 20 tahun dan lebih sering pada wanita daripada pria.
Lokasi: Didapat pada epifisis tulang panjang yang dapat meluas ke arah metafisis. Tempat yang paling sering terjadi adalah proksimal tibia, distal femur dan distal radius. Juga dapat ditemukan di pelvis dan sacrum.
Klinis: Keluhan rasa nyeri yang terus bertambah serta pembengkakan pada bagian tulang yang mengalami lesi, terutama pada lutut dan mungkin ditemukan efusi sendi serta gangguan gerakan pada sendi.
Radiologi: Tampak daerah osteolitik di epifisis dengan batas yang jelas dan memberikan kesan multilokuler gambaran soap bubble. Terjadi penipisan kortek.
Gambaran radiologis terlihat daerah osteolitik di epifisis dengan adanya soap bubble, gambaran patologis terdapat sel datia dan mitosis sel tumor.
Patologi: Pada sediaan hasil kuretase, Stroma yang vaskuler dengan banyak sel-sel datia/giant cell. Ditemukan mitosis dengan mudah pada perbesaran 4x dan 10x. Beberapa tempat terdapat sel fibrihistiocit dan xantoma sel.
Terapi: Operasi kuret yang diikuti dengan pengisian bone graft atau bone cement. Dan beberapa terapi adjuvant dengan phenol, insersi PMMA (polymethylmetacrylate), cryoterapi setelah curetase.
Pada beberapa hal dapat dilakukan reseksi tumor, eksisi luas yang disertai tindakan rekontruksi. Kadang-kadang juga memerlukan amputasi.
Kordoma
Merupakan tumor ganas yang berasal dari sisa notokordal, sering ditemukan pada usia dewasa muda dengan prevalensi tertinggi pada usia 50 hingga 70 tahun. Perbandingan kejadian pada laki-laki dan perempuan adalah 2:1.
Lokasi: Tumor ini berkembang secara progresif pada daerah sakrum dan koksigis (50%). Kordoma dapat juga ditemukan pada tulang belakang dan akan memberikan nyeri pada pinggang bawah. Apabila terjadi sakrum, kordoma dapat menimbulkan obstruksi uretra/rektum dan pada tingkat lanjut dapat timbul gejala-gejala neurologis. Terdapat juga laporan bahwa tumor ini dapat terjadi pada tulang kepala.
Klinis: Gejala kinis tergantung pada tempat terjadinya, kadang terdapat keluhan nyeri, gangguan pada system urogenital, keluhan sakit kepala jika terjadi pada tulang kepala.
Radiologis: Gambaran radiologik secara plain yang dapat ditemukan adalah gambaran radiolusen pada daerah sakrum yang menunjukkan adanya lesi dengan pengrusakan tulang. Terdapat fokal kalsifikasi. Dengan CT-scan dan MRI dapat dilihat penyebaran dan pembesaran tumor intrapelvik, kalsifikasi epidural.
Patologi: Tumor ini ditandai dengan pengaturan lobuler dan septum dari jaringan yang terbentuk dari sel-sel yang banyak mengandung vakuola (sel fisaliporus) dengan material mukoid interseluler yang menjadi mucus.
Pengobatan: Pengobatan yang dapat dilakukan berupa reseksi lokal. Tumor biasanya melakukan infiltrasi pada jaringan lunak sekitarnya tapi jarang mengadakan metastasis. Prognosis kelainan ini baik dan jarang terjadi pada rekuren. Tetapi harus diperhatikan lokasi anatomi jangan sampai mengganggu fungsi seksual.
Adamantinoma
Merupakan tumor ganas tulang yang jarang ditemukan, terutama mengenai diafisis tulang tibia (90%) dan sering ditemukan pada umur 20-25 tahun.
Tumor ini termasuk dalam tumor low grade dan bermetastasis secara lambat.
Gambaran histologis tumor ini seperti dengan adamantinoma pada rahang (ameloblastoma dari rahang).
Lokasi: Terutama terletak pada diafisis tulang tibia, juga pada tulang rahang (mandibula).
Klinis: Nyeri tumpul pada tulang yang kronik, jaringan lunak disekitarnya terasa nyeri melingkari tulang yang nyeri.
Radiologis: Gambaran radiologik terlihat gelembung khas berupa defek pada korteks anterior tibia. Mungkin pula ditemukan penebalan dari tulang sekitarnya. Lesi radiolusen mengelilingi bagian tulang yang sklerosis, dan terdapat juga lesi-lesi kecil dengan gambaran yang serupa. Dengan pemeriksaan CT-scan dapat dilihat adanya penyebaran tumor ke dalam medula atau penyebaran di luar periosteum.
Gambaran radiologis terlihat lesi radiolusen dengan gelumbung yang khas.
Patologi: Pada pemeriksaan histologis ditemukan adanya sel pulau yang menyerupai epitelial dengan jaringan selspindle interseluler. Juga terdapat gambaran sel stroma yang fibrous yang terdiri dari sarang-sarang berisi sel basal dengan gambaran gelap.
Gambaran patologis ditemukan sel pulau dengan inti sel spindle.
Pengobatan: Pada dasarnya pengobatan adamantinoma berupa eksisi lokal yang luas dengan mengambil bagian-bagian sekitar tulang yang normal. Pemeriksaan CT-scan diperlukan sebelum operasi untuk melihat dalamnya penetrasi tumor. Bila lesi meluas sampai ke permukaan endosteal maka sebaiknya eksisi dilakukan pada seluruh segmen dan ruang kosong yang tertinggal diisi dengan bone graft yang bervaskularisasi.
Tumor Tulang Sekunder
Merupakan jenis tumor tulang ganas yang sering didapat. Kemungkinan tumor tulang merupakan tumor metastatik yang harus selalu difikirkan, pada penderita yang berusia lanjut. Pada usia dewasa/lanjut jenis keganasan yang sering bermetastase ke tulang ialah karsinoma payudara, paru-paru, lambung, ginjal, usus, prostat dan tiroid.
Sedang pada anak-anak ialah neuroblastoma. Penderita-penderita yang meninggal akibat karsinoma, pada pemeriksaan bedah mayat ternyata paling sedikit seperempatnya menunjukkan tanda-tanda metastase ke tulang. Sel-sel anak sebar mencapai tulang dengan melalui jalan darah, saluran limfe atau dengan cara ekstensi langsung. Sumsum tulang merupakan tempat yang subur untuk pertumbuhan sel-sel anak sebar, dengan demikian tulang vertebra, pelvis, iga dan bagian proksimal tulang-tulang panjang merupakan tempat yang paling sering dihinggapi oleh sel-sel anak sebar.
Pada penderita dengan kemungkinan keganasan tulang metastasik, maka harus dilakukan pemeriksaan pada semua tulang misalnya dengan bone survey atau bone scan. Keluhan penderita yang paling menonjol ialah rasa sakit. Rasa sakit dapat diakibatkan oleh fraktur patologis.
Dalam beberapa keadaan justru lesi metastatik ditulang yang terlebih dulu ditemukan dan didiagnosis, dimana hasil pemeriksaan mikroskopik menunjukkan suatu jenis neoplasma tulang metastatik yang kadang-kadang jaringan asalnya sulit ditentukan, sehingga harus dicari dengan cermat lokasi daripada tumor primernya.
Radiologi: Pada umumnya tumor metastatik akan mengakibatkan gambaran osteolitik, sedang pada metastase Ca prostat nampak gambaran osteoblatik/osteosklerosis. Kadar Calsium meninggi karena terjadi pelepasan kalsium ke dalam darah akibat proses resorpsi osteoblastik pada tulang-tulang. Adanya pembentukan tulang reaktif ditandai oleh kadar fosfatase alkali yang meningkat. Pada metastase Ca prostat, kadar fosfatase asam meninggi.
Terapi: Terapi bersifat paliatif, karena penderita sudah berada dalam stadium lanjut. Terapi ditujukan pada jenis karsinoma primernya yang dapat berupa radioterapi, kemoterapi ataupun hormon terapi. Terapi dari segi bedah adalah terhadap fraktur patologis yang mungkin memerlukan fiksasi secara eksternal atau internal, agar supaya penderita dapat diimobilisasi tanpa merasa kesakitan. Bila perlu dapat dilakukan fiksasi internal terhadap tulang-tulang ekstremitas sebelum tulang tersebut mengalami fraktur, jadi baru diperkirakan akan fraktur bila proses pada tulang dibiarkan berjalan terus (impending fracture).
DIAGNOSIS
Untuk menetapkan diagnosis tumor tulang diperlukan beberapa hal, yaitu:
Anamnesis
            Anamnesis penting artinya untuk mengetahui riwayat kelainan atau trauma sebelumnya. Perlu pula ditanyakan riwayat keluarga apakah ada yang menderita penyakit yang sejenis misalnya diafisial aklasia yang bersifat herediter.
Beberapa hal yang perlu diperhatikan dalam anamnesis adalah:
1.      Umur
Umur penderita sangat penting untuk diketahui karena banyak tumor tulang yang mempunyai kekhasan dalam umur terjadinya, misalnya osteogenik sarkoma ditemukan pada anak sampai sebelum dewasa muda, kondrosarkoma pada umur 40 tahun, giant cell tumor jarang ditemukan di bawah umur 20 tahun.
2.      Lama dan perkembangan (progresifitas) tumor
Tumor jinak biasanya berkembang secara perlahan dan bila terjadi perkembangan yang cepat dalam waktu singkat atau suatu tumor yang jinak tiba-tiba menjadi besar maka perlu dicurigai adanya keganasan.
3.      Nyeri
Nyeri merupakan keluhan utama pada tumor ganas. Adanya nyeri menunjukkan tanda ekspansi tumor yang cepat dan penekanan ke jaringan sekitarnya, perdarahan atau degenerasi.
4.      Pembengkakan
Kadang-kadang penderita mengeluhkan adanya suatu pembengkakan, yang timbul secara perlahan-lahan dalam jangka waktu yang lama atau secara tiba-tiba.
Pemeriksaan Klinik
Hal-hal yang penting pada pemeriksaan klinik adalah:
1.      Lokasi
Beberapa jenis tumor mempunyai lokasi yang klasik dan tempat-tempat predileksi tertentu seperti di daerah epifisis, metafisis tulang, atau menyerang tulang-tulang tertentu misalnya osteoma pada daerah tengkorak, osteogenik sarkoma pada daerah metafisis, osteoblastoma di daerah vertebra.
2.      Besar, bentuk, batas dan sifat tumor
Tumor yang kecil kemungkinan suatu tumor jinak, sedangkan tumor yang besar kemungkinan adalah tumor ganas. Penting pula diperhatikan bentuk tumor apakah disertai pelebaran pembuluh darah atau ulkus yang merupakan karakteristik suatu tumor ganas. Tanda-tanda efusi sendi mungkin dapat ditemukan pada tumor yang berdekatan dengan sendi.
3.      Gangguan pergerakan sendi
Pada tumor yang besar di sekitar sendi akan memberikan gangguan pada pergerakan sendi.
4.      Spasme otot dan kekakuan tulang belakang
Apabila tumor terdapat pada daerah tulang belakang, baik jinak atau ganas, dapat memberikan spasme/kekakuan otot tulang belakang.
5.      Fraktur patologis
Beberapa tumor ganas dapat memberikan komplikasi fraktur patologis oleh karena terjadi kerapuhan pada tulang sehingga penderita akan datang dengan gejala fraktur.
Pemeriksaan Neurologis
            Bila terdapat gejala gangguan neurologis pada penderita, maka pemeriksaan neurologis perlu dilakukan secara cermat untuk menentukan apakah gangguan ini timbul oleh karena penekanan tumor pada saraf tertentu.
Pemeriksaan Radiologis
            Merupakan salah satu pemeriksaan yang sangat penting dalam menegakkan diagnosis tumor tulang. Dilakukan foto polos lokal pada lokasi lesi atau foto survei seluruh tulang (bone survey) apabila dicurigai adanya tumor yang bersifat metastasis atau tumor primer yang dapat mengenai beberapa bagian tulang.
Foto polos tulang dapat memberikan gambaran tentang:
•         Lokasi tumor: epifisis, metafisis, diafisis atau pada organ-organ tertentu.
•         Bersifat soliter atau multiple.
•         Jenis tulang yang terkena.
•         Batas tumor tegas/tidak, mengandung kalsifikasi/tidak.
•         Bentuk kistik atau solid.
Pemeriksaan radiologis lain yang dapat dilakukan, yaitu:
ü  Radionukleida scanning, pemeriksaan ini biasanya dipergunakan pada lesi yang kecil seperti osteoma.
ü  CT Scan, dapat memberikan informasi tentang keberadaan tumor apakah intraoseus atau ekstraoseus.
ü  MRI, dapat memberikan informasi apakah tumor berada dalam tulang atau tidak, apakah tumor berekspansi ke dalam sendi atau ke jaringan lunak.
GAMBARAN RADIOGRAFI KONVENSIONAL
Gambaran lesi
-          Destruksi tulang
-          Reaksi periosteal
-          Matriks tumor
-          Ekspansi lesi
-          Keterlibatan jaringan lunak 
Reaksi tulang terhadap tumor
·         Respon terbatas tulang
o   Destruksi à lesi litik
o   Reaksi à sklerosis
o   Remodelling à reaksi periosteal
·         Kecepatan pertumbuhan tumor menentukan respon
o   Pertumbuhan lambat à sklerotik
o   Pertumbuhan cepat à litik
·         Batas antar tumor dan tulang normal terlihat pada foto polos
·         Proses pertumbuhan tumor yang slow progresif akan menghasilkan batas yang tegas antara tumor dan jaringan tulang sekitarnya
·         Proses pertumbuhan tumor yang sangat progresif mendestruksi tulang akan menghasilkan batas yang kabur antara tumor dan jaringan tulang sekitarnya

Tipe destruksi ada 3 macam yaitu:
·         Geographic
·         Moth-eaten
·         Permeative
Geographic Bone Destruction
·         Batas tegas
·         Indikasi à kurang agresif, pertumbuhan lambat, jinak
·         Zona transisi sempit
·         Chondromyxoid fibroma
·         Eosinophilic granuloma
Destruksi  Moth-eaten
·         Batas tidak rata, compang camping
·         Indikasi à 
o   pertumbuhan lebih cepat dibandingkan geographic
o   Mungkin keganasan
Moth-eaten
·         Metastases
·         Lymphoma
·         Ewing ’s sarcoma
Permeative
·         Berbatas tidak tegas dgn “worm-holes” multipel
·         Penyebaran melalui ruang sumsum tulang
·         Zona transisi lebar
·         Indikasi 
o   Malignant agresif (keganasan, agresif)
Permeative
 Examples
Examples·         Ewing ’s Sarcoma
·         Myeloma
·         Osteomyelitis
·         Neuroblastoma
Tipe Destruksi
Reaksi periosteal
·         Benign
o   None
o   Solid
·         Keganasan
o   Lamellated or onion-skin
o   Sunburst
o   Codman’s triangle
Tipe Reaksi periosteal
Tipe Reaksi periosteal
·         Benign
·         Aggressive/malignant
Ewing;s sarcma Osteoacom Ewing Codman's triangle
Ewing;s sarcma Osteoacom Ewing Codman's triangle
| 
 | 

Matriks tumor
·         Osteoblastik
o   Fluffy, cotton-like or cloud-like densities
§  Osteosarcoma
·         Cartilaginous
o   Comma-shaped, punctate, annular, popcorn-like
§  Enchondroma, chondrosarcoma, chondromyxoid fibroma
Tumor matrix
·         Osteoblastic
·         Cartilaginous
Keterlibatan jaringan lunak
·         Indikasi 
o             Biasa keganasan
o             Seperti massa 
·         Lesi jinak dgn keterlibatan jaringan lunak
o             Osteomyelitis 
§  Biasa infiltrasi lemak                                                               
Multiple Lesions
·         Lebih sering jinak
·         Lesi ganas yang multipel
Benign vs. Malignant Jinak dan Ganas


Osteosarkoma
   Osteokondroma                                                                                     Myeloma multiple
Pemeriksaan Laboratorium
§  Darah, meliputi: pemeriksaan LED, hemoglobin, serum alkali fosfatase, serum elektroforesis protein, serum asam fosfatase yang memberikan nilai diagnostik pada tumor ganas tulang.
§  Urin, pemeriksaan yang penting adalah pemeriksaan protein Bence Jones.
Pemeriksaan Biopsi
Tujuannya untuk memperoleh material yang cukup untuk pemeriksaan histologis, untuk membantu menetapkan diagnosis, serta staging tumor (menentukan keganasan). Waktu pelaksanaan biopsi sangat penting sebab dapat mempengaruhi hasil pemeriksaan radiologis yang dipergunakan pada staging. Apabila pemeriksaan CT-scan dibuat setelah dilakukan biopsi, maka akan nampak perdarahan pada jaringan lunak yang memberikan kesan gambaran suatu keganasan pada jaringan lunak.
Dikenal dua metode pemeriksaan biopsi, yaitu:
o   Biopsi tertutup, dengan menggunakan FNAB (Fine Needle Aspiration Biopsy) untuk melakukan sitodiagnosis. Merupakan salah satu cara biopsi untuk melakukan diagnosa pada tumor.
Keuntungan dari FNAB adalah:
·         Tidak perlu perawatan.
·         Risiko komplikasi kecil.
·         Mencegah penyebaran tumor.
·         Cepat mendapatkan hasil.
o   Biopsi terbuka, adalah metode biopsi melalui tindakan operatif. Keunggulannya yaitu dapat diambil jaringan yang lebih besar untuk pemeriksaan histologik dan pemeriksaan ultramikroskopik, mengurangi kesalahan pengambilan jaringan dan mengurangi kecenderungan perbedaan diagnostik tumor jinak dan tumor ganas seperti antara enkondroma dan kondrosarkoma, osteoblastoma dan osteosarkoma. Biopsi terbuka tidak boleh dilakukan bila dapat menimbulkan kesulitan pada prosedur operasi berikutnya, misalnya pada reseksi en-bloc.
DIAGNOSIS BANDING
            Perlu dilakukan dengan sangat hati-hati oleh karena kelainan-kelainan lain seperti infeksi, miositis osifikans, hematoma dapat memberikan gambaran klinis dan radiologik yang menyerupai gambaran suatu tumor ganas tulang. Kelainan-kelainan yang dapat memberikan gambaran klinis dan radiologik yang menyerupai tumor, antara lain:
1.      Hematoma subperiosteal atau pada jaringan lunak yang akan memberikan benjolan yang disertai nyeri.
2.      Osteomielitis dapat memberikan gejala seperti tumor ganas osteosarkoma atau tumor ganas Ewing.
3.      Fraktur stress; ini akan memberikan gejala nyeri dan gambaran adanya fraktur.
4.      Miositis osifikans.
5.      Artritis gout.
PENATALAKSANAAN
            Pada tumor-tumor ganas diperlukan kerjasama dan konsultasi antara ahli bedah onkologi, ahli bedah ortopedi, ahli radiologi, ahli patologi serta ahli prostetik dan rehabilitasi.
v  Curiga akan tumor ganas
Apabila suatu lesi pada tumor primer dicurigai sebagai suatu keganasan maka penderita sebaiknya dirawat untuk pemeriksaan lengkap, pemeriksaan darah, foto paru-paru, pencitraan baik dengan foto polos maupun CT-scan dan biopsi tumor.
Operasi
            Eksisi tumor dengan cara operasi dapat dilakukan dengan beberapa teknik, yaitu:
Ø  Intralesional atau intrakapsuler
Teknik ini dilakukan dengan cara eksisi/kuretase tumor, tidak dianjurkan pada tumor ganas dan biasanya dilakukan pada kelompok tumor low grade tumour, misalnya giant cell tumor.
Ø  Eksisi marginal
Adalah pengeluaran tumor di luar dari kapsulnya. Teknik ini terutama dilakukan pada tumor jinak atau tumor ganas jenis low grade malignancy.
Ø  Eksisi luas (eksisi en-bloc)
Tumor dikeluarkan secara utuh disertai jaringan disekitar tumor yang berupa pseudo-kapsul atau jaringan yang bereaksi di luar tumor. Tindakan eksisi luas dilakukan pada tumor ganas dan biasanya dikombinasi dengan pemberian kemoterapi atau radioterapi pada pre/pasca operasi.
Ø  Operasi radikal
Dilakukan seperti pada eksisi luas dan ditambah dengan pengeluaran seluruh tulang serta sendi dan jaringan sebagai satu bagian yang utuh. Cara ini biasanya berupa amputasi anggota gerak di atasnya dan disertai pengeluaran sendi di atasnya.
            Dengan staging yang tepat serta pemberian kemoterapi untuk mengontrol penyebaran tumor, tindakan amputasi dapat dihindarkan dengan suatu teknik yang disebut limb-sparing surgery (limb saving procedure) yaitu berupa eksisi yang luas disertai dengan penggantian anggota gerak dengan mempergunakan bone graft atau protesis yang disesuaikan dengan anggota gerak tersebut yang dibuat khusus secara individu.
Radioterapi
            Radiasi dengan energi tinggi merupakan suatu cara untuk eradikasi tumor-tumor ganas yang radiosensitif dan dapat juga sebagai pengobatan awal sebelum tindakan operasi dilakukan. Kombinasi radioterapi dapat pula diberikan bersama-sama dengan kemoterapi. Radioterapi dilakukan pada keadaan-keadaan yang in-operable misalnya adanya metastasis atau keadaan lokal yang tidak memungkinkan untuk tindakan operasi.
Kemoterapi
            Merupakan suatu pengobatan tambahan pada tumor ganas tulang dan jaringan lunak. Obat-obatan yang dipergunakan adalah metotreksat, adriamisin, siklofosfamid, vinkristin, sisplatinum. Pemberian kemoterapi biasanya dilakukan pada pre/pasca operasi.
BAB III
KESIMPULAN
Tumor tulang merupakan kelainan pada tulang yang bersifat neoplastik. Dengan istilah lain “Tumor Tulang” adalah pertumbuhan abnormal pada tulang yang bisa jinak atau ganas.
            Dari seluruh tumor tulang primer; 65,8% bersifat jinak dan 34,2% bersifat ganas. Ini berarti dari setiap tiga tumor tulang terdapat satu yang bersifat ganas. Perbandingan insidens tumor tulang pada pria dan wanita adalah sama.
            Klasifikasi neoplasma tulang berdasarkan asal sel, yaitu: primer (osteogenik, kondrogenik, fibrogenik, mielogenik, tumor asal vaskuler, tumor tulang lainnya) dan sekunder/metastatik (tumor yang berasal dari organ lain yang menyebar ke tulang).
Untuk menetapkan diagnosis tumor tulang diperlukan beberapa hal, yaitu: anamnesis, pemeriksaan klinik, pemeriksaan neurologis, pemeriksaan radiologis, pemeriksaan laboratorium, dan pemeriksaan biopsi.
Metode pengobatan pada neoplasma tulang antara lain dengan operasi, radioterapi, dan kemoterapi. Ada beberapa teknik operasi, yaitu: intralesional atau intrakapsuler, eksisi marginal, eksisi luas, serta operasi radikal.
DAFTAR PUSTAKA
- Doherty, Gerard M. Current Surgical Diagnosis & Treatment 12th Chapter 42 page 1201 – 1205. Mc Graw Hill
- Rasjad C. Pengantar Ilmu Bedah Ortopedi. Jakarta: Yarsif Watampone. 2007, Hal. 275-315.
- Reksoprodjo S. Kumpulan Kuliah Ilmu Bedah. Jakarta: Binarupa Aksara. 1995, Hal. 331-340.
- Sjamsuhidajat R, Wim de Jong. Buku Ajar Ilmu Bedah, edisi 2. Jakarta: EGC. 2005, Hal. 934-939.
- Suyadi A. Keganasan Tulang. Yogyakarta: Bagian Bedah FK UII. 2009, Hal. 1-11.
- http://naturindonesia.com/artikel-kanker/881-jenis-kanker-tulang.html
- http://www.scribd.com/doc/31348774/Tumor-Tulang
- http://www.scribd.com/doc/54186345/Neoplasma-Tulang




































 
Makasih atas infonya. https://obatjelligamatqncherbal.blogspot.com/
ReplyDeletesaya baru tahu dengan penyakit ini saya juga ada membaca cara penyembuhan penyakit inicara minum utsukushhii untuk tumor
ReplyDelete