"A Man can't make a mistake can't make anything"

Thursday, 3 November 2011

Tumor Phylloid / Cystosarcoma phylloides


BAB I
PENDAHULUAN

Merupakan neoplasma jinak yang bersifat menyusup secara lokal dan mungkin ganas (10-15%).dulu disebut Cystosarcoma phyllodes merupakan  tumor jinak yang terjadi hampir semata-mata pada payudara wanita. Namanya berasal dari kata Yunani sarcoma, yang berarti tumor berdaging, dan phyllo, yang berarti daun. Disebut demikian oleh karena tumor tersebut menampilkan karakteristik yang besar, sarkoma ganas, tampilan seperti-daun ketika dipotong, dan epitel, ruang seperti-kista bila dilihat secara histologis. Karena sebagian besar tumor itu jinak maka disebut juga sebagai tumor filoides.
Meskipun tumor jinak tidak bermetastase, namun mereka memiliki kecenderungan untuk tumbuh secara agresif dan rekuren secara lokal. Mirip dengan sarkoma, tumor maligna bermetastase secara hematogen. Gambaran patologis tumor filoides tidak selalu meramalkan perilaku klinis neoplasma karenanya pada beberapa kasus terdapat tingkat ketidakpastian tentang klasifikasi lesi.
Ciri-ciri tumor filoides maligna adalah sebagai berikut:
·         Tumor maligna berulang terlihat lebih agresif dibandingkan tumor asal.
·         Paru merupakan tempat metastase yang paling sering, diikuti oleh tulang, jantung, dan hati.
·         Gejala untuk keterlibatan metastatik dapat timbul segera, sampai beberapa bulan dan paling lambat 12 tahun setelah terapi awal.
·         Kebanyakan pasien dengan metastase meninggal dalam 3 tahun dari terapi awal.
·         Tidak terdapat pengobatan untuk metastase sistemik yang terjadi.
·         Kasarnya 30% pasien dengan tumor filoides maligna meninggal karena penyakit ini.

            Etiologi tumor filoides secara pasti belum diketahui, diperkirakan berhubungan dengan fibroadenoma dalam beberapa kasus, karena pasien dapat mungkin memiliki gambaran histologis kedua lesi pada tumor yang sama. Namun, apakah tumor filoides berkembang dari fibroadenoma atau keduanya berkembang bersama-sama, atau apakah tumor filoides dapat muncul de novo, masih belum jelas
Tumor ini memiliki tekstur halus, berbatas tajam dan biasanya bergerak secara bebas. Tumor ini adalah tumor yang relatif besar, dengan ukuran rata-rata 5 cm. Namun, lesi yang > 30 cm pernah dilaporkan.
Haagensen melaporkan kira-kira satu tumor filodes untuk setiap 40 fibroadenoma. Distribusi usia menurut Haagensen mayoritas terjadi antara usia 35 dan 55 tahun. Tumor bilateral sangat jarang dan jarang juga terjadi pada pasien di bawah usia 20 tahun, pertama kali muncul memberikan reaksi jinak.
Pemeriksaan mamografi dan ultrasonografi (gambar II.03) umumnya penting dalam diagnosis lesi payudara, namun keduanya sangat tidak dapat diandalkan dalam membedakan tumor filoides jinak dari bentuk kondisi ganas ataupun dari fibroadenoma. Dengan demikian, temuan pada studi pencitraan bukanlah diagnosis pasti. Biopsi payudara eksisi terbuka untuk lesi lebih kecil atau biopsi insisional untuk lesi lebih besar adalah metode pasti untuk mendiagnosis tumor filoides.

Gambar II.03. Gambaran mammografi dari tumor filoides

Pada kebanyakan kasus tumor filoides, dilakukan eksisi luas. Dengan batas eksisinya yaitu: batas 2 cm untuk tumor kecil (< 5 cm) dan batas 5 cm untuk tumor besar (> 5 cm) telah dianjurkan. Pertimbangan lain dalam terapi bedah adalah :
·         Jika rasio tumor dengan jaringan payudara normal cukup tinggi, untuk memberikan hasil kosmetik yang memuaskan adalah dengan eksisi segmental. Mastektomi total dengan atau tanpa rekonstruksi adalah sebuah pilihan alternatif.
·         Prosedur yang lebih radikal tidak secara umum dibenarkan.
·         Melakukan diseksi nodus limfatikus aksila hanya untuk nodus yang dicurigai secara klinis ganas. Namun, sebenarnya semua nodus ini reaktif dan tidak mengandung sel-sel maligna.




Merupakan varian yang jarang dari fibroadenoma. Cystosarcoma phyllodes bertanggung jawab untuk kurang dari 1% dari semua lesi jinak dan ganas payudara. Namanya salah karena ia jarang ganas dan biasanya tidak kistik. Asalnya bisa dari fibroadenoma selular yang telah ada yang sekarang mengandung satu atau lebih komponen asal mesenkim
Lesi ini lebih jarang di bandingkan FAM. Pola pertumbuhan lesi ini cendrung cepat dan mengekspansi ke area sekitar. Walaupun tidak semua, beberapa ada yang membentuk cystic2 sehingga lesi ini sering juga disebut dengan cystosarcoma phyllodes. Lesi ini relative jinak dan jarang bermestasis dan mitosis patologis, tapi 15% nya bisa jadi ganas dan menyebar secara hematogen (high grade). Oleh karena kabanyakan lesinya lokal, maka bisa disembuhkan dengan eksisi lokal, lesi malignan cendrung tumbuh kembali, tapi juga cendrung lokal.Tumor ini terdapat pada semua usia, tetapi kebanyakan terdapat pada usia sekitar 45 tahun.

BAB II
TUMOR PHYLLOIDES

 

ANATOMI DAN FISIOLOGI

1. ANATOMI
Untuk dapat  mengenal perjalanan penyakit kanker payudara dengan baik dan memahami dasar-dasar tindakan operasi pada kanker payudara maka sangat penting mengetahui anatomi payudara itu sendiri.
Payudara terletak pada hemithoraks kanan dan kiri dengan batas-batas sebagai berikut :
1.      Batas-batas payudara yang tampak dari luar:
-          Superior  : iga II atau III
-          Inferior     : iga VI atau VII
-          Medial      : pinggir sternum
-    Lateral      : garis aksilaris anterior.
2.      Batas-batas payudara yang sesungguhnya:
-          Superior   : hampir sampai ke klavikula
-          Medial      : garis tengah
-          Lateral      : m.latissimus dorsi                                               
Struktur Payudara
Payudara terdiri dari berbagai struktur :
-          parenkim epitelial
-          lemak, pembuluh darah, saraf dan saluran getah bening
-          otot dan fascia
Gambar 1. Anatomi payudara.
Parenkim epitelial dibentuk oleh kurang lebih 15-20 lobus,yang masing-masing mempunyai saluran tersendiri untuk mengalirkan produknya,dan bermuara pada putting susu.Tiap lobus dibentuk oleh lobulus-lobulus yang masing-masing terdiri dari 10-100 asini grup.Lobulus-lobulus ini merupakan struktur dasar dari glandula mammae.
Payudara dibungkus oleh fascia pektoralis superfisialis dimana permukaan anterior dan posterior dihubungkan oleh ligamentum Cooper yang berfungsi sebagai penyangga.
 
Sistem Limfatik Payudara                          
Pembuluh getah bening
1.      Pembuluh getah bening aksila:
Pembuluh getah bening aksila ini mengalirkan getah bening dari daerah-daerah sekitar areola  mammae, kwadran lateral bawah dan kwadran lateral atas payudara.
2.      Pembuluh getah bening mammaria interna:
Saluran limfe ini mengalirkan getah bening dari bagian dalam dan medial payudara. Pembuluh ini berjalan diatas fascia pektoralis lalu menembus fascia tersebut, dan masuk kedalam m.pektoralis mayor. Lalu jalan ke medial bersama-sama dengan sistem perforantes menembus m.interkostalis dan bermuara ke dalam kelenjar getah bening mammaria interna. Dari kelenjar mammaria interna, getah bening mengalir melalui trunkus limfatikus mammaria interna. Sebagian akan bermuara pada v.cava, sebagian akan bermuara pada duktus torasikus (untuk sisi kiri) dan duktus  limfatikus dekstra (untuk sisi kanan).
3.                Pembuluh getah bening di daerah tepi medial kwadran medial bawah payudara. Pembuluh ini berjalan-jalan bersama vasa epigastrika superior, menembus fascia rektus dan masuk kedalam m.rektus abdominis. Saluran ini bermuara kedalam kelenjar getah bening preperikardial anterior yang terletek ditepi atas diafragma diatas ligamentum falsiforme. Kelenjar getah bening ini juga menampung getah bening dari diafragma,ligamentum falsiforme dan bagian antero- superior hepar.Dari kelenjar ini,limfe mengalir melalui trunkus limfatikus mammaria interna.
Kelenjar-kelenjar getah bening
-    Kelenjar getah bening aksila
Terdapat enam grup kelenjar getah bening aksila:
  1. Kelenjar getah bening mammaria eksterna. Untaian kelenjar ini terletak dibawah tepi lateral m.pektoralis mayor, sepanjang tepi medial aksila. Grup ini dibagi dalam dua kelompok.
a)    Kelompok superior:Kelompok kelenjar getah bening ini terletak setinggi interkostal II-III.
b)   Kelompok inferior.Kelompok kelenjar getah bening ini terletak setinggi interkostal IV-V-VI.
  1. Kelenjar getah bening skapula.
Kelenjar getah bening  terletak sepanjang vasa subskapularis dan torako-dorsalis, mulai dari percabangan v.aksilaris menjadi vena subskapularis, sampai ke tempat masuknya v.torako-dorsalis kedalam m.latissimus dorsi.
3.      Kelenjar getah bening sentral (Central Nodes)
Kelenjar getah bening ini terletak dalam jaringan lemak di pusat ketiak. Kadang-kadang beberapa diantaranya terletak sangat superfisisal, dibawah kulit dan fascia pada pusat ketiak, kira-kira pada pertengahan lipat ketiak depan dan belakang. Kelenjar getah bening ini adalah kelenjar yang relatif mudah diraba. Dan merupakan kelenjar aksila yang terbesar dan terbanyak jumlahnya.
4.      Kelenjar getah bening interpektoral (Rotter's Nodes)
Kelenjar getah bening ini terletak diantara m.pektoralis 

Gambar 2. Sistem limfatik payudara.
5.      Kelenjar getah bening v.aksilaris.
Kelenjar-kelenjar ini terletak sepanjang  v.aksilaris bagian lateral, mulai dari white tendon m.latissimus dorsi sampai ke sedikit medial dari percabangan v.aksilaris--v.torako-akromialis.
6.      Kelenjar getah bening subklavikula.
Kelenjar-kelenjar ini terletak sepanjang v.aksilaris,mulai dari sedikit medial percabangan v.aksilaris--v.torako-akromialis  sampai dimana v. aksilaris menghilang di bawah tendo m.subklavius. Kelenjar ini merupakan kelenjar aksila yang tertinggi dan termedial letaknya. Semua getah bening yang berasal dari kelenjar-kelenjar getah bening aksila masuk kedalam kelenjar ini. Seluruh kelenjar getah bening aksila ini terletak dibawah  fascia kostokorakoid.
7.      Kelenjar getah bening prepektoral
Kadang-kadang terletak dibawah kulit atau didalam jaringan payudara kwadran lateral atas disebut prepektoral karena terletak diatas fascia pektoralis.
8.      Kelenjar getah  bening mammaria interna.
Kelenjar-kelenjar ini tersebar sepanjang trunkus limfatikus mammaria interna, kira-kira 3 cm dari pinggir sternum. Terletak didalam lemak diatas fascia endotorasika, pada sela iga. Diperkirakan jumlah kelenjar ini ada 6-8 buah.

2. FISIOLOGI
Fase perkembangan payudara timbul sebagai hasil efek mamotropik sekresi hormon ovarium dan hipofisis anterior, dimana payudara mengalami tiga macam perubahan yang dipengaruhi hormon:
1.       Perubahan pertama adalah mulai dari masa hidup anak melalui masa pubertas, masa fertilisasi, sampai ke klimakterium dan menopouse. Sejak pubertas pengaruh hormon estrogen dan progesteron yang di produksi ovarium dan juga hormon hipofisa telah menyebabkan duktus berkembang dan timbulnya asinus.
2.       Perubahan kedua adalah perubahan sesuai dengan daur menstruasi, sekitar hari ke-8 menstruasi payudara jadi lebih besar dan pada beberapa hari sebelum menstruasi berikutnya terjadi pembesaran maksimal. Kadang – kadang timbul benjolan yang tidak rata. Selama beberapa hari menjelang menstruasi payudara menjadi tegang dan nyeri sehingga pemeriksaan fisik terutama palpasi tidak mungkin dilakukan. Pada waktu itu pemeriksaan foto mamogram tidak berguna karena kontras kelenjar terlalu besar. Begitu menstruasi mulai, semuanya berkurang.
3.       Perubahan yang terjadi waktu hamil dan menyusui. Pada kehamilan payudara menjadi besar karena epitel duktus lobul dan duktus alveolus berproliferasi dan tumbuh duktus baru. Sekresi hormon prolaktin dari hipofisis anterior memicu laktasi. Air susu di produksi oleh sel-sel alveolus, mengisi asinus, kemudian dikeluarkan melaui duktus ke puting susu.
Payudara tersusun dari jaringan lemak yang mengandung kelenjar-kelenjar yang bertanggungjawab terhadap produksi susu pada saat hamil dan setelah bersalin. Setiap payudara terdiri dari sekitar 15-25 lobus berkelompok yang disebut lobulus, kelenjar susu, dan sebuah bentukan seperti kantung-kantung yang menampung air susu (alveoli). Saluran untuk mengalirkan air susu ke puting susu disebut duktus. Sekitar 15-20 saluran akan menuju bagian gelap yang melingkar di sekitar puting  susu (areola) membentuk bagian yang menyimpan air susu (ampullae) sebelum keluar ke permukaan.
Kedua payudara tidak selalu mempunyai ukuran dan bentuk yang sama. Bentuk payudara mulai terbentuk lengkap satu atau dua tahun setelah menstruasi pertamakali.Hamil dan menyusui akan menyebabkan payudara bertambah besar dan akan mengalami pengecilan (atrofi) setelah menopause.
Payudara akan menutupi sebagian besar dinding dada. Payudara dibatasi oleh tulang selangka (klavikula) dan tulang dada (sternum). Jaringan payudara bisa mencapai ke daerah ketiak dan otot yang berada pada punggung bawah sampai lengan atas (latissimus dorsi).
Kelenjar getah bening terdiri dari sel darah putih yang berguna untuk melawan penyakit. Kelenjar getah bening didrainase oleh jaringan payudara melalui saluran limfe dan menuju nodul-nodul kelenjar di sekitar payudara samapi ke ketiak dan tulang selangka. Nodul limfe berperan penting pada penyebaran kanker payudara terutama nodul kelenjar di daerah ketiak.

DEFINISI
Cystosarcoma phyllodes berasal dari kata Yunani, sarcoma, yang berarti tumor berdaging, dan phyllo, yang berarti daun. Tumor ini menampilkan karakteristik yang besar, sarkoma ganas, mengambil tampilan seperti-daun ketika dipotong, dan menampilkan epitel, ruang seperti-kista bila dilihat secara histologis. Karena sebagian besar tumor itu jinak, namanya dapat menyesatkan. Dengan demikian, terminologi yang disukai sekarang adalah tumor filodes.
Johann Muller merupakan orang yang pertama kali memberikan nama ‘cystosarcoma phyllodes’ pada tahun 1838, karena tumor ini seringkali kistik dan secara klasik memiliki proyeksi seperti daun ke dalamnya.
Tumor ini biasanya besar sekali dan berkembang dengan cepat. Tumor ini mungkin saja benigna atau maligna dan bisa menyebar ke bagian lain tubuh. Juga disebut CSP (Cystosarcoma phyllodes) atau tumor filodes. Merupakan tipe neoplasma jaringan ikat yang timbul dari stroma intralobular payudara.
SINONIM
Cystosarcoma phylloides, cystosarcoma phyllodes, tumor filodes.

FREKUENSI
Tidak ada perbedaan frekuensi tumor filodes antara pasien-pasien di Amerika Serikat dan pasien-pasien di negara lain. Tumor filodes diperkirakan sekitar 1% dari total neoplasma payudara.
v  MORTALITAS/MORBIDITAS
Karena data yang terbatas, persentase tumor filodes jinak dibanding ganas tidak terdefenisi dengan baik. Laporan yang ada mengindikasikan bahwa sekitar 80-95% tumor filodes adalah jinak dan itu sekitar 10-15% adalah ganas.
Meskipun tumor jinak tidak bermetastase, namun mereka memiliki kecenderungan untuk tumbuh secara agresif dan rekuren secara lokal. Mirip dengan sarkoma, tumor maligna bermetastase secara hematogen. Sayangnya, gambaran patologis tumor filodes tidak selalu meramalkan perilaku klinis neoplasma; karenanya pada beberapa kasus terdapat tingkat ketidakpastian tentang klasifikasi lesi. Ciri-ciri tumor filodes maligna adalah sebagai berikut:
  • Tumor maligna berulang terlihat lebih agresif dibandingkan tumor asal
  • Paru merupakan tempat metastase yang paling sering, diikuti oleh tulang, jantung, dan hati
  • Gejala untuk keterlibatan metastatik dapat timbul mulai dari sesegera beberapa bulan sampai paling lambat 12 tahun setelah terapi awal
  • Kebanyakan pasien dengan metastase meninggal dalam 3 tahun dari terapi awal
  • Tidak terdapat pengobatan untuk metastase sistemik yang terjadi
  • Kasarnya 30% pasien dengan tumor filodes maligna meninggal karena penyakit ini
v  RAS, JENIS KELAMIN DAN USIA
·         Predileksi tampaknya tidak ada untuk tumor filodes.
·         Tumor filodes muncur hampir secara eksklusif pada wanita. Laporan kasus jarang telah dijelaskan pada pria.
·         Tumor filodes dapat terjadi pada segala usia; namun usia pertengahan adalah dekade kelima kehidupan.
·         Beberapa fibroadenoma juvenil pada remaja dapat terlihat seperti tumor filodes secara histologis; namun, mereka berperilaku jinak sama seperti fibroadenoma lainnya.
ETIOLOGI
Tumor filodes secara nyata berhubungan dengan fibroadenoma dalam beberapa kasus, karena pasien dapat memiliki kedua lesi dan gambaran histologis kedua lesi mungkin terlihat pada tumor yang sama. Namun, apakah tumor filodes berkembang dari fibroadenoma atau keduanya berkembang bersama-sama, atau apakah tumor filodes dapat muncul de novo, tidaklah jelas. Noguchi dan kolega telah mempelajari pertanyaan ini dengan analisis klonal dalam tiga kasus dimana fibroadenoma dan tumor filodes diperoleh berurutan dari pasien yang sama. Pada masing-masing kasus, kedua tumor monoklonal dan memperlihatkan alel inaktif yang sama. Mereka berargumen dengan meyakinkan bahwa tumor filodes memiliki asal yang sama dengan fibroadenoma, fibroadenoma tertentu dapat berkembang menjadi tumor filodes.
Studi menarik oleh Yamashita dkk, mengamati immunoreactive endothelin 1 (irET-1), contoh perilaku dimana ilmu pengetahuan modern menjelaskan mekanisme yang akan dengan pasti terbukti penting dalam memahami kedua fungsi normal payudara dan patologi, sementara memungkinkan pergeseran dalam penekanan dari model rodentia ke studi manusia. Level jaringan irET-1 diukur dengan ekstrak dari 4 tumor filodes dan 14 fibroadenoma. Immunoreactive endothelin 1 dapat dibuktikan dalam semua kasus, namun levelnya jauh lebih tinggi pada tumor filodes dibandingkan pada fibroadenoma. Endothelin 1 pada prinsipnya merupakan vasokonstriktor kuat, namun juga memiliki banyak fungsi lainnya. Ia menyebabkan stimulasi sederhana DNA fibroblas payudara, namun dapat digabungkan dengan insulin-like growth factor 1 (IGF-1) untuk menciptakan stimulasi kuat. ET-1 tidak terdapat pada sel epitel payudara normal, namun reseptor ET-1 spesifik terdapat pada permukaan sel stroma normal. Reseptor ET-1 dijumpai pada permukaan sel dari sel-sel stroma tumor filodes namun sel-sel immunoreactive ditemukan dalam sel-sel epitel tapi bukan sel-sel stroma, memberi kesan bahwa ET-1 disintesis oleh sel epitel tumor filodes. Dengan demikian hal tersebut menyediakan kemungkinan mekanisme parakrin pada stimulasi pertumbuhan stroma cepat yang selalu terlihat bersama tumor filodes.
Apa yang penting adalah bahwa tumor filodes tidak seharusnya dibingungkan dengan sarkoma murni (tanpa elemen epitel sama sekali), untuk memiliki tingkat lebih besar pada keganasan dan gumpalan keduanya sama-sama bisa mengaburkan sifat jinak dasar kebanyakan tumor filodes. Imunositokemistri dan mikroskop elektron memperlihatkan bahwa sel stroma pada kedua tumor filodes jinak dan ganas merupakan campuran dari fibroblas dan miofibroblas. Teknik-teknik ini membebaskan perbedaan dari leiomiosarkoma dan mioepitelioma, yang dapat menyerupai tumor filodes menunjukkan reaksi yang sama sekali berbeda.

PATOFISIOLOGI
Tumor filodes merupakan neoplasma non-epitelial payudara yang paling sering terjadi, meskipun hanya mewakili 1% dari tumor payudara. Tumor ini memiliki tekstur halus, berbatas tajam dan biasanya bergerak secara bebas. Tumor ini adalah tumor yang relatif besar, dengan ukuran rata-rata 5 cm. Namun, lesi yang > 30 cm pernah dilaporkan.

PERILAKU TUMOR
Sementara tumor filoides memperlihatkan kecenderungan jelas untuk berulang secara lokal jika dieksisi dengan batas dekat, metastasis lokal atau jauh adalah jarang. Faktanya, tumor-tumor tersebut dinilai sebagai jinak setelah studi histologis menyeluruh dapat diharapkan memiliki prognosis yang baik, khususnya jika pada awalnya diterapi dengan eksisi komplit. Tumor yang secara histologi maligna (sarkoma filoides) tidak dapat diprediksi perilakunya.
Studi pusat-tunggal dari 32 kasus memberikan indikasi perilaku yang wajar. Tumor-tumor jinak tidak memperlihatkan rekurensi jika dieksisi komplit, namun setengahnya (6 dari 13) yang dieksisi tak-komplit mengalami rekurensi  lokal. Tidak terdapat rekurensi yang terlihat setelah eksisi komplit pada empat batasan dan empat tumor maligna, namun eksisi tak komplit tumor maligna mengarah pada penyakit dinding dada tak-terkontrol.
Pada umumnya, rekurensi lokal tumor jinak tetap jinak, namun transformasi ke malignansi dapat terjadi dan ledakan malignansi telah dilaporkan setelah 15 episode rekurensi lokal jinak.
Prognosis menyenangkan secara keseluruhan terlihat pada seri Haagensen, dimana hanya empat dari 84 pasien yang diketahui mengalami metastase. Sementara kita menemukan rekurensi lokal pada pasien, tak satupun yang mengalami metastase. Seri terbaru 66 kasus dari Mayo Clinic menegaskan bahwa yang paling berperilaku derajat-rendah, tumor non-metastasis, namun baik evaluasi histologis maupun analisis DNA dengan aliran sitometri memberikan penilaian perilaku yang dapat dipercaya pada tumor individual.

GAMBARAN KLINIS
Haagensen melaporkan kira-kira satu tumor filodes untuk setiap 40 fibroadenoma. Distribusi usia luas, dari 10-90 pada seri Haagensen dari 84 pasien, namun dengan mayoritas antara 35 dan 55 tahun. Tumor bilateral sangat jarang, meskipun sebuah kasus luar biasa dari tiga buah tumor terpisah pada jaringan payudara ektopik aksila bilateral juga payudara normal telah dilaporkan. Tumor filodes jarang pada pasien dibawah usia 20 tahun, ketika muncul untuk memberikan reaksi terutama dengan cara jinak, tanpa memperhatikan corak histologis. Juga telah dijelaskan dalam kelenjar mirip mammae di vulva, payudara pria dan di prostat dan vesikula seminalis.
Kebanyakan tumor tumbuh dengan cepat menjadi ukuran besar sebelum pasien datang, namun tumor-tumor tidak menetap dalam arti karsinoma besar. Hal ini disebabkan mereka khususnya tidak invasif; besarnya tumor dapat menempati sebagian besar payudara, atau seluruhnya, dan menimbulkan tekanan ulserasi di kulit, namun masih memperlihatkan sejumlah mobilitas pada dinding dada.
Anamnesa
  • Pasien khususnya muncul dengan massa payudara keras, bergerak, berbatas jelas, tidak lunak
  • Sebuah massa kecil dapat dengan cepat berkembang ukurannya dalam beberapa minggu sebelum pasien mencari perhatian medis
  • Tumor jarang melibatkan kompleks puting-areola atau meng-ulserasi kulit
  • Pasien dengan metastase bisa muncul dengan gejala seperti dispnoe, kelelahan, dan nyeri tulang
Pemeriksaan fisik
  • Disadari adanya massa payudara keras, bergerak, berbatas-jelas, tidak lunak



Gambar 3. Pemeriksaan Payudara
  • Secara ganjil, cystosarcoma phylloides cenderung melibatkan payudara kiri lebih sering dibandingkan payudara kanan
  • Diatas kulit mungkin terlihat tampilan licin dan cukup translusen untuk memperlihatkan vena payudara yang mendasarinya
  • Temuan fisik (misal, adanya massa bergerak dengan batas jelas) mirip dengan yang ada pada fibroadenoma
  • Tumor filoides umumnya bermanifestasi sebagai massa lebih besar dan memperlihatkan pertumbuhan yang cepat
  • Temuan mamografi (misal, tampilan kepadatan bundar dengan batas halus) juga serupa dengan yang terdapat fibroadenoma
  • Tumor maligna rekuren terlihat lebih agresif dibandingkan tumor asal
  • Paru merupakan tempat metastase paling sering, diikuti oleh tulang, jantung dan hati
  • Gejala untuk keterlibatan metastatik dapat timbul mulai dari sesegera beberapa bulan sampai paling lambat 12 tahun setelah terapi awal
  • Kebanyakan pasien dengan metastase meninggal dalam 3 tahun dari terapi awal
  • Tidak terdapat pengobatan untuk metastase sistemik yang terjadi
  • Hitungan kasar 30% pasien dengan tumor filoides maligna meninggal karena penyakit ini

PEMERIKSAAN PENUNJANG
·         Pemeriksaan laboratorium
Tidak ada penanda tumor hematologik atau uji darah lainnya yang bisa digunakan untuk mendiagnosa cystosarcoma
·         Studi Pencitraan
Pada mammogram, tumor Phyllodes akan memiliki tepi yang berbatas jelas. Baik  mammogram ataupun USG payudara  dapat membedakan secara jelas antara fibroadenoma dan Phyllodes jinak atau tumor ganas. Jenis tumor payudara ini biasanya tidak ditemukan di dekat microcalcifications. Sel-sel dari biopsi jarum dapat diuji di laboratorium tapi jarang memberikan diagnosis yang jelas, karena sel-sel dapat menyerupai karsinoma dan fibroadenoma. Pada Biopsi bedah akan menghasilkan potongan jaringan yang akan memberikan sampel sel lebih baik dan akan menghasilkan diagnosa yang tepat untuk sebuah tumor Phyllodes.

Gambar 4. Gambaran mamografi cystosarcoma

MRI payudara dapat membantu tindakan operasi dalam pengangkatan jaringan tumor phyllodes. Sebuah studi membandingkan mammogram di Italia, USG dan MRI payudara dari tumor Phyllodes melaporkan bahwa MRI memberikan gambaran yang paling akurat dan ini membantu ahli bedah tumor dalam menjalankan rencana operasi mereka. Bahkan jika tumor itu cukup dekat dengan otot-otot dinding dada, payudara MRI bisa memberikan gambaran yang lebih baik dari tumor phyllodes daripada mammogram atau USG.

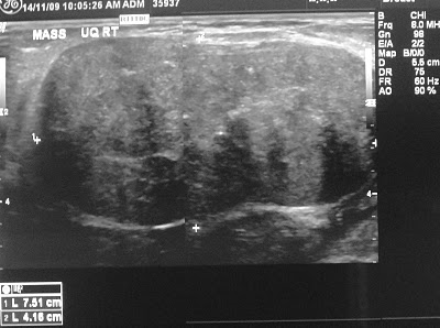
Gambar 5. Gambaran USG

Prosedur
  • FNA untuk pemeriksaan sitologi biasanya tidak memadai untuk diagnosis tumor filoides. Biopsi jarum lebih dapat dipercaya, namun masih bisa terdapat kesalahan pengambilan sampel dan kesulitan dalam membedakan lesi dari sebuah fibroadenoma
  • Biopsi payudara eksisi terbuka untuk lesi lebih kecil atau biopsi insisional untuk lesi lebih besar adalah metode pasti untuk mendiagnosis tumor filoides

Temuan histologis
Semua tumor filoides mengandung komponen stroma yang dapat bervariasi dalam tampilan histologis dari satu lesi ke lesi lainnya. Umumnya, tumor filoides jinak memperlihatkan peningkatan jumlah mencolok pada fibroblas fusiformis reguler dalam stroma.

Adakalanya, sel-sel sangat anaplastik  dengan perubahan miksoid yang diamati. Atipia seluler tingkat tinggi, dengan peningkatan selularitas stroma dan peningkatan jumlah mitosis, hampir selalu diamati pada bentuk maligna cystosarcoma phylloides. Secara ultra-struktural, pada tumor filoides bentuk jinak dan ganas, nukleolus dapat mengungkapkan nukleolonema yang bertautan kasar dan sisterna berlimpah dalam retikulum endoplasma.

DIAGNOSA BANDING
  • Angiosarcoma
  • Kanker payudara (Cancer)

Masalah lain yang perlu dipertimbangkan :

·         Juvenile fibroadenoma
·         Giant fibroadenoma
·         Inflammatory carcinoma
·         Sclerosing adenosis
·         Radial scar
·         Fat necrosis
·         Perubahan fibrokistik
·         Abses payudara
·         Adenokarsinoma
·         Mastitis

PENATALAKSANAAN
Usia penting dalam manajemen lesi-lesi ini. Dibawah umur 20, semuanya harus diterapi dengan enukleasi, karena mereka hampir selalu berperilaku dalam sikap jinak.
Sitologi aspirasi dapat memberi kesan diagnosis tumor filoides namun histologi yang lebih tepat pada biopsi jarum inti dibutuhkan sebelum merencanakan pengobatan.
Situasinya lain pada pasien yang lebih tua. Beberapa dokter bedah memiliki pengalaman cukup untuk menjadi dogmatis mengenai manajemennya. Haagensen melaporkan satu dari seri terbesar, dan merekomendasikan eksisi lokal luas sebagai pendekatan primer pada penanganan tumor filoides jinak. Dia memiliki angka rekurensi lokal sebesar 28% diantara 43 pasien yang ditangani dengan eksisi lokal, dengan follow-up minimal 10 tahun. Namun hanya 3 dari rekurensi tersebut yang menuntut mastektomi sekunder, dan tak satupun yang meninggal akibat tumor ini. Hanya 1 dari 21 pasien yang diterapi dengan mastektomi (simpel atau radikal) mengalami rekurensi lokal; ini adalah sarkoma filoides yang dengan cepat menimbulkan metastasis lokal dan sistemik. Angka rekurensi lebih tinggi untuk tumor filoides jinak dibandingkan ganas telah dilaporkan dalam sejumlah seri, mencerminkan pendekatan bedah yang lebih sederhana untuk tumor-tumor yang diperkirakan kurang serius.
Jelas bahwa eksisi tak-komplit merupakan penentu utama rekurensi pada lesi jinak dan menengah. Mengapa rekurensi tinggi dilaporkan dari kebanyakan seri sementara hal ini begitu baik diperlihatkan? Ada dua alasan utama: kegagalan untuk mengantisipasi kemungkinan tumor filoides dan kegagalan mendefinisikan tenik yang akan meyakinkan eksisi komplit. Yang pertama dapat dijumpai hanya dengan kecurigaan tingkat tinggi, dan penilaian rangkap tiga pada semua massa sebelum pembedahan. Khususnya penting untuk menghindari biopsi eksisi sebagai prosedur diagnostik karena hampir tidak mungkin mempengaruhi batas eksisi tegas dari rongga biopsi, dimana hal ini dilakukan sebagai prosedur primer sementara tumor masih in situ. Untuk alasan ini, diagnosis histologis harus dibuat dengan biopsi jarum-inti, atau setidaknya tidak ada prosedur lebih besar selain biopsi insisi.
Eksisi makroskopik komplit, dengan usulan batas 1 cm, dapat dipastikan dengan teknik yang tepat. Dengan teknik eksisi biasa sementara menempatkan traksi pada massa, mudah untuk melakukan diseksi terlalu dekat ke tumor pada beberapa titik diseksi. Cara yang dapat dipercaya untuk menghindari hal ini adalah agar dokter bedah menempatkan jari-jari kiri pada massa, dan memotong diluar jari, dengan traksi hanya pada jaringan payudara sekitarnya.
Untuk lesi kecil dimana diagnosis diusulkan oleh penilaian rangkap tiga atau tampilan makroskopik (lunak, coklat, tampilan berdaging), tumor harus dieksisi dengan batas 1-cm dari jaringan payudara normal. Jika histologinya jinak, hal ini merupakan penatalaksanaan yang cukup, dengan eksisi quadrantic (seperempat-lingkaran) untuk lesi menengah. Dimana diagnosis pertama kali dikenali pada pemeriksaan histologi dari spesimen biopsi eksisi, eksisi quadrantic jaringan parut direkomendasikan dengan maksud memastikan bersihan lokal yang memenuhi syarat.
Untuk lesi besar dan lesi rekuren, pembersihan yang baik pasti melibatkan mastektomi mendekati-total dan kami lebih menyukai mastektomi sederhana, dengan rekonstruksi menengah yang seharusnya diharapkan pasien. Terdapat beberapa bukti meningkatnya insiden karsinoma payudara yang berhubungan, serentak atau selanjutnya, pada pasien dengan tumor filoides dan hal ini merupakan alasan tambahan untuk follow-up jangka panjang yang teliti terhadap pasien-pasien yang demikian.


Terapi Bedah
Pada kebanyakan kasus cystosarcoma phylloides, melakukan eksisi luas normal, dengan lingkaran jaringan normal. Tidak terdapat aturan tentang besarnya batas. Namun, batas 2 cm untuk tumor kecil (< 5 cm) dan batas 5 cm untuk tumor besar (> 5 cm) telah dianjurkan.
Lesi tidak seharusnya “dikupas keluar”, seperti yang mungkin dilakukan dengan fibroadenoma, atau angka rekurensi tanpa dapat diterima jadi meningkat.
  • Jika tumor terhadap rasio payudara cukup tinggi dilakukan eksisi segmental, mastektomi total, dengan atau tanpa rekonstruksi, adalah sebuah alternatif.
  • Prosedur yang lebih radikal tidak secara umum dibenarkan.
  • Melakukan diseksi nodus limfatikus aksila hanya untuk nodus yang dicurigai secara klinis. Namun, sebenarnya semua nodus ini reaktif dan tidak mengandung sel-sel maligna.
KOMPLIKASI
Seperti kebanyakan operasi payudara, komplikasi paska operasi dari penatalaksanaan bedah tumor filoides termasuk berikut ini:
  • Infeksi
  • Pembentukan seroma
  • Rekurensi lokal dan/atau jauh
PROGNOSIS
  • Meskipun cystosarcoma phylloides dianggap sebagai tumor jinak secara klinis, kemungkinan untuk rekurensi lokal setelah eksisi selalu ada, khususnya dengan lesi yang memperlihatkan histologi maligna. Tumor setelah pengobatan awal dengan eksisi lokal luas, yang rekuren secara lokal idealnya diterapi dengan mastektomi total.
  • Penyakit metastase khususnya diamati pada paru, mediastinum dan tulang.

  • Sajian klinis beragam
    • Jika tumor jinak, prognosis jangka panjang baik sekali mengikuti eksisi lokal yang memadai
    • Jika tumor berulang recara lokal setelah eksisi, maka selanjutnya dilakukan eksisi lokal atau mastektomi total khususnya kuratif


DAFTAR PUSTAKA


  1. Ramli muchlis. KUMPULAN KULIAH ILMU BEDAH.1995.Jakarta : Binarupa aksara.Halaman  355
  2. Jong de wim. BUKU AJAR ILMU BEDAH EDISI 2.2004. Jakarta : EGC. Halaman 391-393
  3. Manning. MAJOR DIAGNOSIS FISIK EDISI IX. 1996. Jakarta : EGC. Halaman 366
  4. Schwartz. INTISARI PRINSIP-PRINSIP ILMU BEDAH EDISI 6. 2000. Jakarta : EGC. Halaman 233
  5. muel-muel.blogspot.com/.../neoplasma-jinak-payudara.htm
  6. www.bidadariku.com/idpayudara2.php?kode=90
  7. www.klikdokter.com/illness/detail/172
  8. id.wikipedia.org/wiki/Kanker_payudara

No comments:

Post a Comment